HSデンタルサロンロゴ

JR武蔵野線 / 埼玉高速鉄道 「東川口駅」徒歩5分 / 平日19時まで、土曜も診療

JR武蔵野線 / 埼玉高速鉄道 「東川口駅」徒歩5分 / 平日19時まで、土曜も診療

048-287-3373

24時間対応

無料相談予約

#歯科恐怖症
#痛くない・怖くない治療がしたい
#歯がボロボロで見せたくない
#治療中に吐き気が出てしまう

 っている間に
終わる!?歯科治療

虫歯治療
歯周病治療

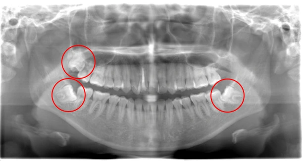
親知らずの
抜歯

インプラント
治療

その他
歯科治療
全般

無料相談実施中

まずはお話だけでも、お気軽にご来院ください

ご予約はコチラ

静脈内鎮静法なら

歯医者に不安がある方でも
安心して治療を受けて
いただくことができます

歯医者が怖い

治療中に
オエッとなる

強い痛み
我慢できない

治療を
長引かせたくない

ボロボロの歯
見せたくない

麻酔料金が高く
手が出せない

「眠っている間に治療が終わる」

じょうみゃくないちんせいほう

静脈内鎮静法

をご存知ですか?

静脈内鎮静法画像①

数分でウトウト
気づいたときには
治療が終わっています

点滴をとり、不安や緊張を軽減するために用いられる静脈麻酔薬を使用します。ウトウトした状態で歯科治療を受けることができます。

静脈内鎮静法画像②

治療中の
音や振動も
気になりません

歯医者嫌いの理由になりやすい歯を削る音や振動、歯科医院特有の材料や消毒のにおいなども、意識がぼんやりしているため、恐怖や不快感として認識されにくくなります。

静脈内鎮静法画像③

短期集中治療
が可能

多数の虫歯治療や親知らず抜歯などは、患者さんの負担を考慮し通常は日を空けて行うことが多い治療ですが、鎮静法であればリラックス状態で行えるため、普段より多くの部位を治療できることが多いです。

当院では、
専門医による麻酔治療を
より低価格でご提供しています!

身近な価格でご提供
歯科麻酔学会① 歯科麻酔学会①

歯科麻酔学会 認定医 和島 陽菜

HSデンタルサロンで歯科麻酔を担当している和島陽菜と申します。
歯科麻酔医は、インプラントオペだけでなく、歯科恐怖症の方など が安心して治療を行えるよう、静脈内鎮静法を用いて麻酔管理を行う仕事です。
患者様一人ひとりに寄り添い、安心して治療が行えるよう努めてまいりますのでお気軽にご相談ください。

当院では麻酔専門の歯科医師が常駐しているため、安心・安全な麻酔治療を低価格で提供しています。
他院では麻酔専門医を外部から招くケースが多いなか、当院では専任の麻酔医が常駐しているため、
コストを抑えながら高品質な麻酔治療ができます。

歯医者さんに恐怖心・トラウマがあり通えなくなってしまった方へ

歯科麻酔学会② 歯科麻酔学会②

当院では
無理なご提案、
同意のない治療
絶対にいたしません

患者さまのお気持ちを最優先に考え、お悩みやご要望をしっかりとお伺いし、納得いただいたうえで治療を進めてまいります。安心して治療に臨んでいただけるよう、患者さまに真摯に向き合いサポートいたします。

患者さまの声

親知らず抜歯(Yさん・20代女性)

極度の怖がりで不安でしたが、リスクなども丁寧に説明いただき安心しました。
一気に4本抜きましたが、1日で治療が完結したのでよかったです。ありがとうございました。

虫歯治療(Tさん・50代男性)

歯科治療が怖く、何十年もボロボロの歯でしたが麻酔のおかげでようやく治療を始められました。
麻酔の先生が常駐してるので予約も取りやすいです。ウトウトしてる間に終わるので気持ちが楽です。

もしもの時の もしもの時の

もしもの時の「緊急対応設備」

(AED・パルスオキシメーター・酸素ボンベ、血圧計)

静脈内鎮静法を安全にご提供するためには、患者さまの体調の適切な管理と、万が一の事態への迅速な対応が必要です。当院ではAED、パルスオキシメーター、酸素ボンベ、血圧計などを完備し、安心できる環境づくりを徹底しています。

まずはお話だけでも、
お気軽にご来院ください

静脈内鎮静法は、さまざまな
歯科治療に適応します

お悩みに合わせた
治療プラン

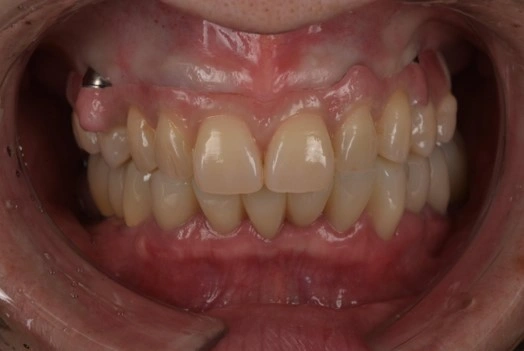
オールオン4 症例①

オールオン4 症例

オールオン4 症例

大きな手術のイメージがあって、怖い

持病があり、手術が心配

素早く終わらせてほしい

治療例

オールオン4 症例②
オールオン4 症例③

費用例

総額 4,884,000円(税込)

※分割のお支払も可能です

年齢

60代女性

主訴

噛めない

治療期間

1年

施術(治療)内容

オールオン4と前歯2本のセラミック治療

リスク・副作用

外科的侵襲がある、費用が高い

麻酔費用

33,000円×3回=99,000円

治療費用

4,884,000円(税込)

親知らず抜歯 症例①

親知らず抜歯 症例

親知らず抜歯 症例

抜歯中の痛みが心配

4本同時に抜きたい!

難症例で他院に断られた

治療例

親知らず抜歯 症例②
親知らず抜歯 症例③

費用例

総額 66,000円(税込)

※分割のお支払も可能です

年齢

20代女性

主訴

矯正治療のため、親知らずを抜きたい

治療期間

1時間半

施術(治療)内容

親知らず3本抜歯、腫れを軽減するためにCGFを行う

リスク・副作用

腫れる恐れがある、費用が高い

麻酔費用

22,000円×1回=22,000円

治療費用

抜歯代33,000円+CGF代(オプション)11,000円

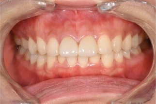
前歯2本のセラミック治療 症例①

前歯2本のセラミック治療 症例

前歯2本のセラミック治療 症例

歯を削る音が怖い!

ボロボロの歯が恥ずかしい

出来るだけ痛みを感じたくない

治療例

前歯2本のセラミック治療 症例②
前歯2本のセラミック治療 症例③
前歯2本のセラミック治療 症例②
前歯2本のセラミック治療 症例③

費用例

総額 198,000円(税込)

※分割のお支払も可能です

年齢

20代女性

主訴

前歯が気になる

治療期間

1ヶ月

施術(治療)内容

前歯2本のセラミック治療

リスク・副作用

費用がかかる

麻酔費用

22,000円×2回=44,000円

治療費用

154,000円(税込)

オールオン4 症例①

オールオン4 症例

オールオン4 症例

大きな手術のイメージがあって、怖い

持病があり、手術が心配

素早く終わらせてほしい

治療例

オールオン4 症例②
オールオン4 症例③

費用例

総額 4,884,000円(税込)

※分割のお支払も可能です

年齢

60代女性

主訴

噛めない

治療期間

1年

施術(治療)内容

オールオン4と前歯2本のセラミック治療

リスク・副作用

外科的侵襲がある、費用が高い

麻酔費用

33,000円×3回=99,000円

治療費用

4,785,000円(税込)

親知らず抜歯 症例①

親知らず抜歯 症例

親知らず抜歯 症例

抜歯中の痛みが心配

4本同時に抜きたい!

難症例で他院に断られた

治療例

親知らず抜歯 症例②
親知らず抜歯 症例③

費用例

総額 66,000円(税込)

※分割のお支払も可能です

年齢

20代女性

主訴

矯正治療のため、親知らずを抜きたい

治療期間

1時間半

施術(治療)内容

親知らず3本抜歯、腫れを軽減するためにCGF(再生療法)を行う

リスク・副作用

腫れる恐れがある、費用が高い

麻酔費用

22,000円×1回=22,000円

治療費用

抜歯代33,000円+CGF代(オプション)11,000円

前歯2本のセラミック治療 症例①

前歯2本のセラミック治療 症例

前歯2本のセラミック治療 症例

歯を削る音が怖い!

ボロボロの歯が恥ずかしい

出来るだけ痛みを感じたくない

治療例

前歯2本のセラミック治療 症例②
前歯2本のセラミック治療 症例③
前歯2本のセラミック治療 症例②
前歯2本のセラミック治療 症例③

費用例

総額 198,000円(税込)

※分割のお支払も可能です

年齢

20代女性

主訴

前歯が気になる

治療期間

1ヶ月

施術(治療)内容

前歯2本のセラミック治療

リスク・副作用

費用がかかる

麻酔費用

22,000円×2回=44,000円

治療費用

154,000円(税込)

その他痛みを和らげる工夫

静脈内鎮静法以外にも
痛みへの
さまざまな
配慮
しています。

表⾯⿇酔 表⾯⿇酔

皮膚や粘膜の表面に麻酔薬を塗布することで、その部分の感覚を一時的に麻痺させることができます。そこに注射針を刺すため、刺さるときの嫌な痛みが軽減されます。

電動⿇酔注射器 電動⿇酔注射器

手動の麻酔注射が痛いのは、麻酔液注入時の圧力にムラが生じるからです。しかしコンピューター制御の注射器であれば、麻酔液を一定の圧力で注入できるため、痛みを抑えられます。

マイクロ注射針 マイクロ注射針

注射針は太いほど刺すときの痛みが大きくなります。そのため、従来よりも注射針が細く、先端が鋭利に研磨された特殊な針を使っています。

笑気⿇酔 笑気⿇酔

亜酸化窒素と酸素を混ぜた気体を鼻から吸入することで、リラックス効果や鎮痛効果を得る方法です。緊張や恐怖を感じやすい方、痛みを強く感じる方でも快適に治療を受けられます。

治療の流れ

ご予約 ご予約

ご予約

お電話または24時間対応のWEB予約フォームからご予約ください。お電話は診療日・時間内の対応となりますが、お急ぎの方はお電話をご利用ください。

初診相談・治療プランの提案(無料) 初診相談・治療プランの提案(無料)

初診相談・
治療プランの
提案(無料)

症状やお悩み、ご要望に合わせた治療プランをご提案し、納得いただいた場合のみ治療を始めます。些細な不安や疑問でも、遠慮なくご相談ください。

初診相談の際に持参いただくもの

●医療保険証

●公費負担証明書(医療証など)

●紹介状(お持ちの場合)

●その他(母子手帳・服用薬剤一覧など)

術前診察・術前検査 術前診察・術前検査

術前診察・
術前検査

まずは麻酔が可能かどうかを診察します。また、治療内容に応じて必要な検査を行い、総合的な視点から診断して治療計画を立案します。

治療開始 治療開始

治療開始

血圧計、酸素モニターを装着します。その後点滴をとり、ウトウトするお薬(静脈麻酔薬)を入れていきます。処置中のことは覚えていない方も多いです。

休憩 休憩

休憩

処置終了直後はふらつきが出やすいため、院内で休んでいただきます。

治療終了 治療終了

治療終了

安全確認後に帰宅許可とします。しばらくは静脈麻酔薬の影響が残る可能性がありますので、当日はお車・自転車の運転は控え、自宅で安静にしてください。

費用について

静脈内鎮静法 麻酔料金

治療内容

料金(税込)

インプラント治療

33,000円/回

その他の治療

22,000円/回

治療時間の延長

11,000

※別途治療費用がかかります。

お支払い方法

現 金

デンタルローン
(アプラス・スルガ銀行・エポス)

クレジットカード

クレジットカード

電子マネー

電子マネー

QRコード決済

QRコード決済

医療費控除について

1年間に支払った治療費が
基準額を超える場合、
医療費の控除が受けられます。

医療費控除の対象例

保険診療での治療

機能修復のための入れ歯・インプラント・歯列矯正

通院でかかったバス・電車の交通費

デンタルローン

理事長紹介

理事長紹介

HSデンタルサロン 理事長
鈴木 隼人

当院は、患者様が快適で安心・安全な治療が受けられるよう、歯科麻酔医が常駐しています。
静脈内鎮静法を用いることで、歯科治療に対する「痛み」「不安」「緊張」といった精神的負担を軽減させることが可能です。

無料カウンセリングを行ってますので、まずはお気軽にご相談ください!

治療を受ける前に

当院では、歯科治療に対する恐怖心や強い嘔吐反射がある方のストレスを軽減するため、歯科麻酔学会認定医による「静脈内鎮静法」を行っています。この方法により、抜歯や虫歯治療はもちろんクリーニングまで、ウトウトした状態で行うことができます。医療機器を完備した処置室で安全な治療を心がけますので、安心しておまかせください。

静脈内鎮静法の注意事項

来院前

麻酔薬に含まれる成分にアレルギーがある方には、適用できない場合があります。

既往歴によっては適用できない場合があります。

妊娠時、授乳時には適用できません。

術前のお食事は8時間前、飲水は2時間前からお控えください。

当日・術後

当日は、車や自転車の運転はお控えください。

術後は眠気やふらつきなどが生じるため、通常の状態に戻るまで院内で休んでいただきます。

術後の痛みには、内服薬を処方します。

当日は、帰宅後も安静にしてください。

リスク・副作用

麻酔薬の使用にともなう一般的なリスク
・副作用

・歯肉に塗布する表面麻酔や、一般的な歯科治療で歯肉に注入する浸潤麻酔は保険診療となります。インプラントによる治療などの自費診療(保険適用外)で笑気吸入鎮静法、静脈内鎮静法、全身麻酔を行う場合は自費診療となり、保険診療よりも高額になります。保険診療となった場合も、高額になることがあります。これらの麻酔法を保険診療で行うには治療内容など条件がありますので、詳細は歯科医師にご確認ください。

・表面麻酔薬の使用により、じんましんやむくみなどを発症することがあります。

・歯肉に塗布する表面麻酔や、一般的な歯科治療で歯肉に注入する浸潤麻酔は保険診療となります。インプラントによる治療などの自費診療(保険適用外)で笑気吸入鎮静法、静脈内鎮静法、全身麻酔を行う場合は自費診療となり、保険診療よりも高額になります。保険診療となった場合も、高額になることがあります。これらの麻酔法を保険診療で行うには治療内容など条件がありますので、詳細は歯科医師にご確認ください。

・歯肉に塗布する表面麻酔や、一般的な歯科治療で歯肉に注入する浸潤麻酔は保険診療となります。インプラントによる治療などの自費診療(保険適用外)で笑気吸入鎮静法、静脈内鎮静法、全身麻酔を行う場合は自費診療となり、保険診療よりも高額になります。保険診療となった場合も、高額になることがあります。これらの麻酔法を保険診療で行うには治療内容など条件がありますので、詳細は歯科医師にご確認ください。

HSデンタルサロンロゴ
医院名

医療法人社団世隼会 HSデンタルサロン

住所

〒333-0802

埼玉県川口市戸塚東1-2-28 
東川口フロンティアビル1階

アクセス

JR武蔵野線、埼玉高速鉄道『東川口駅』より徒歩5分

− お車でお越しの方へ −

近隣にコインパーキングがございますので、

利用証明書を受付までお持ちください

電話番号

048-287-3373

診療時間

10:00〜13:00
14:30〜19:00
△:土曜午後は14:00~17:30まで 休診日:日曜

まずはお話だけでも、
お気軽にご来院ください