| 患者の年齢 | 66歳 |
|---|---|
| 症状 | 噛めない |
| 治療内容 | 骨造成(骨を造る治療)、インプラント埋入 |
| 費用 | 2,200,000円+税 |
| 治療期間 | 6ヶ月 |
| デメリット・リスク | 外科手術が必要、自由診療のため費用が高い、定期的なメンテナンスが必要、痛みを伴う場合もある |
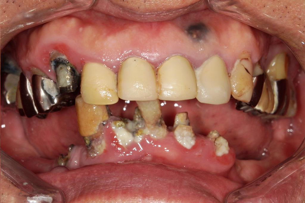
これは私の父です。父は普通のサラリーマンをしていて歯科医療など医療に携わってきませんでした。
歯科医師になった後も私に歯を見られることが嫌だと思っていたそうで、長年左下の奥歯に入れ歯を入れていました。
入れ歯を入れていたと言いますが、話していても入れ歯の金具が見えたことがなかったので、おそらく入れていなかったのでしょう。
ついに父から連絡があり、孫と一緒に食事を楽しみたいとのことでインプラントをしたいと相談がありました。
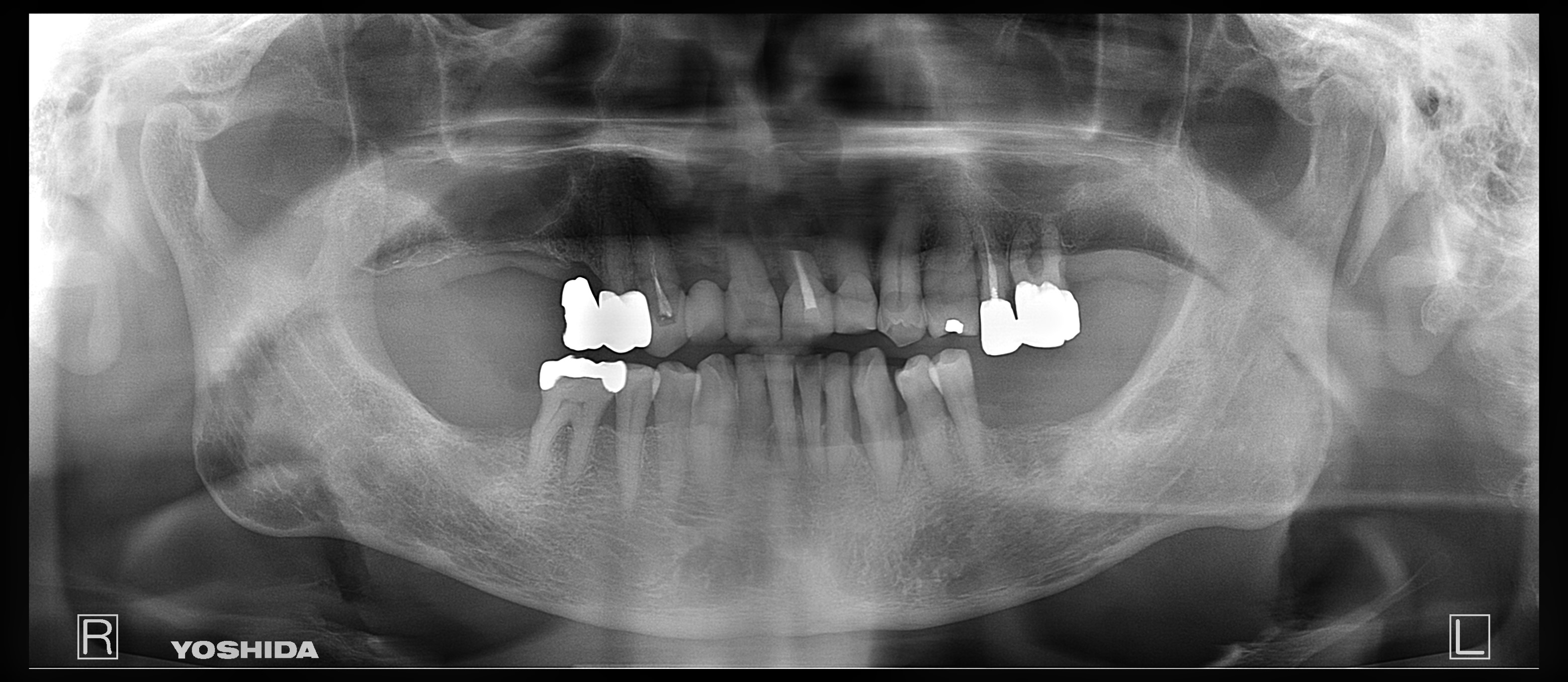
父のレントゲン写真と口腔内を見て、インプラントを入れる位置を一緒に決めて行きました。
右上は歯があるように見えて隣の歯につなげてある被せ物があるだけの状態です。
その右上は骨がないためサイナスリフトという処置を施した後にインプラントを入れる手術をしなければならないのですが、(サイナスリフトは骨を作るだけで6ヶ月待ちます。)
私は水口先生が開発したオステオプッシャーを用いて、骨がないところに骨を足す手術と並行してインプラントを入れる手術を施しました。
左側の入れ歯を入れていたと言っている場所には通常の方法でインプラント治療を、左上の奥歯2本は歯周病でグラグラだったため抜歯と同時にインプラントと治療を行いました。
左側のレントゲンがが最初の状態です。右側がインプラントを入れ、被せ物まで入れた状態のレントゲンです。
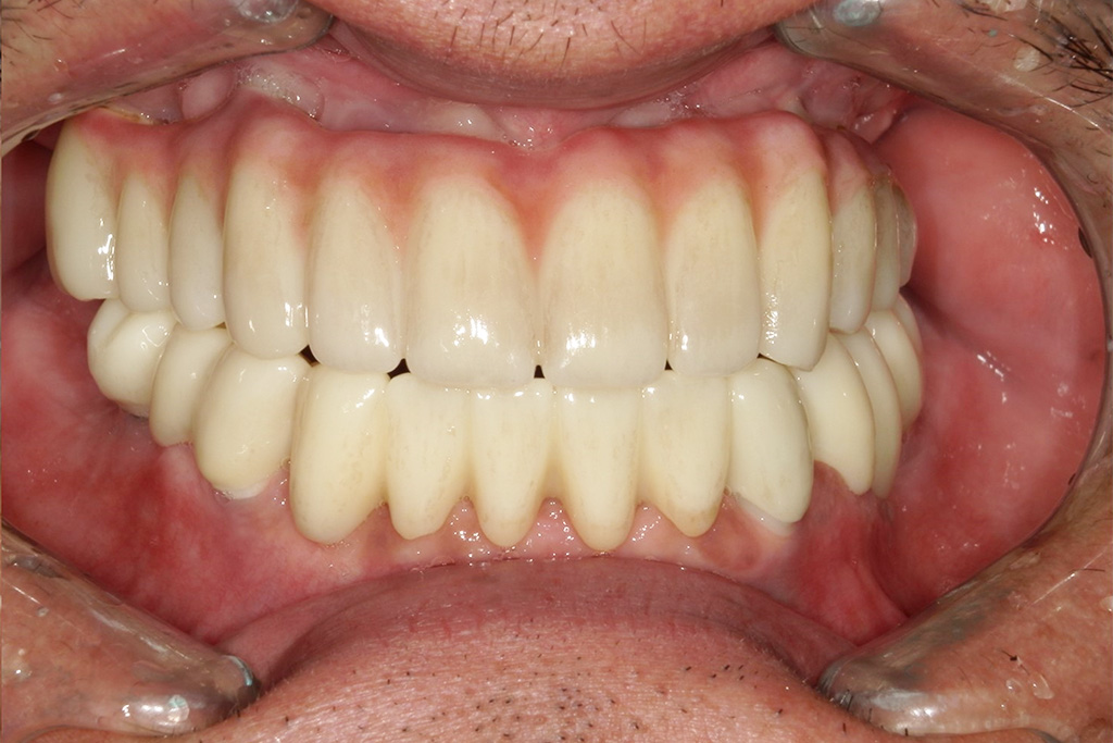
父に初めてではないと思いますが、感謝をされたこと今でも忘れません。
今では孫と一緒に食事をしに行ったり、ゴルフ仲間とゴルフを楽しんでいたりと楽しい人生を送ってくれています。
ゴルフも奥歯ができたことで噛み締められ、スコアが良くなったと喜んでいました。
| 患者の年齢 | 61歳 |
|---|---|
| 症状 | 見た目が悪い、噛めない、歯が痛い |
| 治療内容 | オールオン4(今回は8本) |
| 費用 | 上顎2,400,000円+税、下顎300,000円+税 |
| 治療期間 | 1年 |
| デメリット・リスク | 外科手術が必要、メンテナンスが必要、喫煙者のため、インプラントの定着が悪く抜けることがある |
Hさまは今まで歯医者が嫌いで行かないでそのまま放置していました。タバコもヘビースモーカーと自分で言うくらいの量を吸っていたそうです。
放置していたらどんどん歯がボロボロになっていき、噛めないことと痛みがあるのでどうしたらいいかと、重い腰を上げてきてくださいました。
奥さんにインプラントがいいと言われたからインプラントを知りたいとのことでHPを見てきてくれたそうです。
今回は噛めることと見た目の改善を目的として上顎はダメな部分は抜歯をし、インプラントを入れました。
Hさまのインプラント治療は1年かかりました。理由としてはヘビースモーカーのためインプラントが骨と定着しなかった部分があったため何本か抜けてしまったりし、再度インプラントを入れ直したり等したためです。
タバコを止めることがストレスになるとのことでした。インプラント治療には禁煙は必須ですがストレスのが強いのであれば、インプラントが定着せず抜けてしまう可能性は増えますが、辛抱強く行えばインプラントはいつかは定着すると私も勉強させられました。
ヘビースモーカーでも治療が可能と今では言える様になりました。(歯科医師としては言ってはいけないと思いますが・・・)
現在では硬いものもかめてやってよかったと言われて私は満足しかありません。
かなりボロボロでもこのような難症例であろうと私は治療ができると自信がつきました。
今では定期検診でしっかりと予防を行っていただいています。
チェックの日に先生と話すの楽しいと言ってくれてとても私は幸せです。
| 患者の年齢 | 43歳 |
|---|---|
| 症状 | 全く噛めない、揺れて痛い |
| 治療内容 | オールオン4 |
| 費用 | 4,800,000円+税 |
| 治療期間 | 6ヶ月 |
| デメリット・リスク | 外科手術が必要、上下オールオン4なので費用が高い、定期的なメンテナンスが必要 |
Eさまは重度の歯周病で歯がほぼグラグラな状態でした。
今まで歯の治療をしてはきていたそうですが、その医院ではインプラントをしていなかったため当院のホームページを見て来院されたそうです。
残す歯をどうするか?と考えた時に、インプラントの本数が増えてしまい費用がかなり高額になること、残す歯に不具合が出た場合にまたインプラントの本数が増えてしまことを考えてなるべく費用を抑えたいとのことで、今回はオールオン4治療を選択しました。
Eさまもまたヘビースモーカーのためインプラント治療でのインプラントの定着率の悪さと仕事柄かなり力を使う方なので、抜歯と同時にインプラントを入れて歯まで作るということをしましたが、2本ほどインプラントが定着しませんでした。
そのため6ヶ月で完成のところ、11ヶ月と時間を要してしまいました。
最終の歯が入った後は本当に嬉しくてEさまは泣いていました。
歯というものの重要性を私と共に治療して行く中で思ったそうです。
歯の痛みや違和感を感じたら歯科医院に行くことを周りの人たちに伝えてくれているそうです。
| 患者の年齢 | 48歳 |
|---|---|
| 症状 | 歯がなくて恥ずかしい、マスクを外せない |
| 治療内容 | インプラント治療 |
| 費用 | 2,700,000円+税 |
| 治療期間 | 3ヶ月 |
| デメリット・リスク | 外科手術が必要、メンテナンスが必要、痛みを伴う、費用がかかる |
ESさまは重度の歯科恐怖症で、子どもの頃からのトラウマが原因だそうです。
色々な歯科医院で治療を試みたそうですがやはり恐怖で無理だったそうです。
当院に娘さんが矯正治療で通っていて一緒に来ていてここなら治療頑張れるかもとのことで相談から始まりました。
抜歯をしたくない、入れ歯もしたくない(以前作っていたそうです)とのことでインプラント治療を選ばれました。
歯科恐怖症のため麻酔医を呼んで静脈内鎮静をするか、笑気麻酔での治療にするかを選択し、笑気での治療をすることになりました。
たくさんの時間を相談や簡単な歯周病治療などでまずは歯科医院になれていただく等させていただきました。
今回は抜歯をせずにしっかりとかめることを目的に本数を少なくしたインプラント治療となりました。
治療期間は3ヶ月ほど。
今まではコロナの前でもマスクをしていたそうですが、今ではマスクを外して笑える様になったと喜んでいました。
歯科恐怖症でも優しく根気よく対応させていただきます。
| 患者の年齢 | 54歳 |
|---|---|
| 症状 | 歯が痛い、奥歯で噛みたい |
| 治療内容 | インプラント治療 |
| 費用 | 1,200,000円+税 |
| 治療期間 | 3ヶ月 |
| デメリット・リスク | 外科手術が必要、費用がかかる、メンテナンスが必要 |
噛む力が強いTさまは、奥歯が両方痛いとのことで来院されました。
人間は奥歯での噛む力は体重以上かかると言われています。
特に歯軋り、食いしばりが強い方なそれ以上の力が加わると言われています。
Tさまの歯を審査診断してみると、左上のブリッジのところや右上の奥歯、左下の治療していない歯や根の治療されている歯に亀裂が入っていたため抜歯という判断をさせていただきました。
奥歯で噛むことを無くしたくないし、入れ歯は年齢的に嫌だとのことでインプラント治療を選ばれました。
まずは一番気になっていた左側上下からスタート。
その後左上をスタートし、完成しました。
最初の頃は少し違和感がとおっしゃっていましたが、半年ほどで慣れたそうです。
今では3ヶ月ごとの定期検診でお会いしていますが、かなり元気に食事をされていて嬉しく思いました。
根の治療をしている場所は、噛む力が強い方などは注意が必要だと改めて実感したケースです。
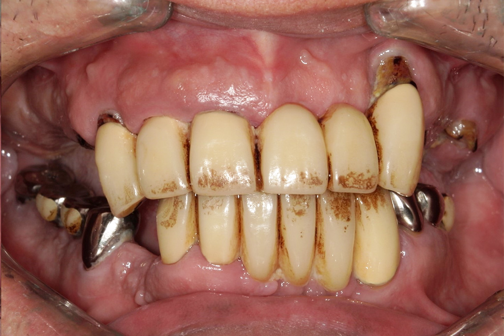
Before
Before
Before
After
After
After
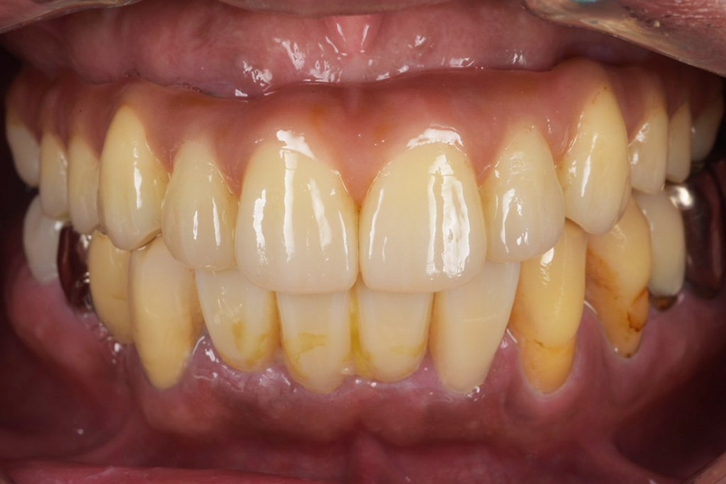
| お悩みの症状 | しっかりものを噛みたい、歯が痛い |
|---|---|
| 年齢 | 40代 |
| 性別 | 男性 |
| 治療の内容 | 上下オールオンXによるインプラント治療 |
| 必要な治療費 | 5,500,000円 |
| 治療リスク | 外科的な治療を伴う、費用がかかる、定期的なメンテナンスが必要 |
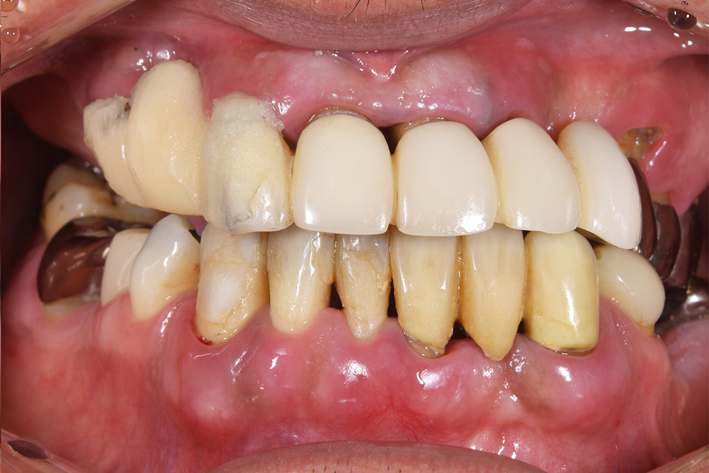
Before
Before
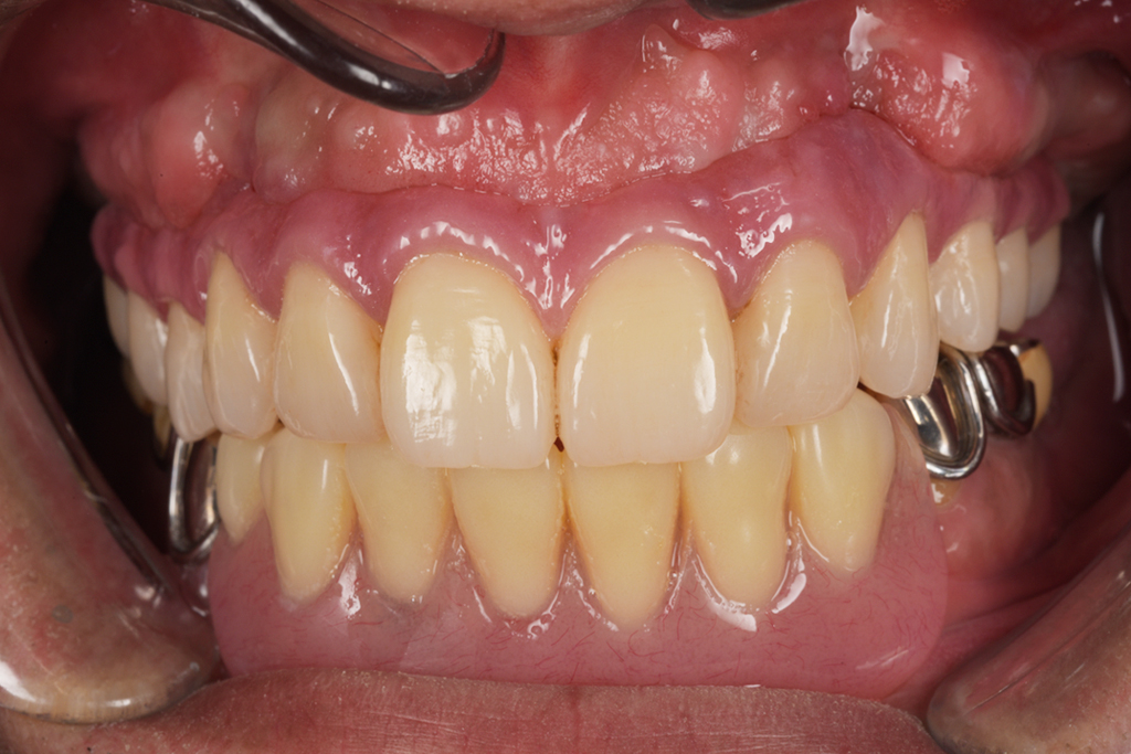
After
After
| お悩みの症状 | 食べ物をしっかりと噛みたい |
|---|---|
| 年齢 | 70代 |
| 性別 | 男性 |
| 治療の内容 | 下オールオン4によるインプラント治療 |
| 必要な治療費 | 2,500,000円 |
| 治療リスク | 外科的な治療を伴う、費用がかかる、定期的なメンテナンスが必要 |
Before
Before
After
After
| お悩みの症状 | 前歯がグラグラしてものが噛めない |
|---|---|
| 年齢 | 50代 |
| 性別 | 男性 |
| 治療の内容 | 上オールオン4によるインプラント治療 |
| 必要な治療費 | 2,500,000円 |
| 治療リスク | 外科的な治療を伴う、費用がかかる、定期的なメンテナンスが必要 |
Before
Before
After
After
| お悩みの症状 | 前歯がグラグラしてものが噛めない |
|---|---|
| 年齢 | 50代 |
| 性別 | 男性 |
| 治療の内容 | 上オールオン4によるインプラント治療 |
| 必要な治療費 | 2,500,000円 |
| 治療リスク | 外科的な治療を伴う、費用がかかる、定期的なメンテナンスが必要 |
| 患者の年齢 | 30歳 |
|---|---|
| 症状 | 親知らずが痛い。横向きに生えている |
| 治療内容 | 親知らず抜歯1本 |
| 費用 | 約8,500円 (検査料、CT費、処置料、処方箋費用) |
| 治療期間 | 1日 |
| デメリット・ リスク |
麻痺が起こる場合がある、痛みが伴う |
| 患者の年齢 | 30歳 |
|---|---|
| 症状 | 親知らずが痛い |
| 治療内容 | 親知らず抜歯1本 |
| 費用 | 約5,000円 (検査料、CT費、処置料、処方箋費用) |
| 治療期間 | 1日 |
| デメリット・ リスク |
麻痺が起こる場合がある、痛みが伴う |